 |
| כתרי כל חרסינה |
 |
|
 |
|
 |
| |
 |
|
 |
|
 |
שיניים מוזנחות ונגועות בעששת |
|
חיוך בתחילת הטיפול |
|
| |
 |
|
 |
|
 |
מבט על קשת השיניים העליונה – מראה טבעי |
|
כתרים מחרסינה ללא מתכת |
|
| |
 |
|
 |
|
 |
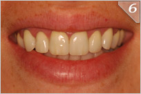
6) חיוך בסיום הטיפול - יש להמשיך בטיפולי מניעת העששת |
|
השיניים עברו טיפולי שורש וניקוי יסודי |
|
|
 |
| פיסול שיניים |
 |
 |
 |
 |
 |
 |
 |
| כתרים קדמיים על שיניים |
 |
 |
 |
 |
 |
 |
 |
 |
 |
 |
 |
 |
 |
 |
| שתלים |
 |
 |
 |
 |
 |
 |
 |
 |
| תותבות |
 |
 |
|
 |