 |
| השלמת שיניים שבורות |
 |
|
 |
|
 |
| |
 |
|
 |
|
 |
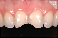
לפני השלמת השיניים בוצעה הבהרת שיניים |
|
שיניים קדמיות שבורות בקצוות |
|
| |
 |
|
 |
|
 |
תהליך הבניה של השן נעשה בשכבות בצבעים שונים בכדי לחקות את צבע השן |
|
תהליך ההדבקה – מריחת דבק ללא השחזה של השן |
|
| |
 |
|
 |
|
 |
הלבנת שיניים וחיוך בסיום |
|
מראה השיניים לאחר ליטוש של חומר השחזור |
|
|
 |
| פיסול שיניים |
 |
 |
 |
 |
 |
 |
 |
| כתרים קדמיים על שיניים |
 |
 |
 |
 |
 |
 |
 |
 |
 |
 |
 |
 |
 |
 |
| שתלים |
 |
 |
 |
 |
 |
 |
 |
 |
| תותבות |
 |
 |
|
 |