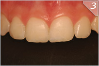
פיסול שיניים שבורות לאחר נפילה
השבר הוא ב-3 שיניים חותכות
חיוך עם להבי שיניים שבורים בעקבות נפילה
לאחר כשעה וחצי של טיפול - חיוך
פיסול והדבקת חומר בצבע השן בכדי להשלים את חלקי השן החסרים
פיסול שיניים
הלבנה פנימית של שן אפורה
הלבנת שיניים והחלפת שחזורים לקויים
סגירת רווחים בין שיניים
השלמת שיניים שבורות
פיסול שיניים סגירת רווח קדמי
פיסול שיניים וסגירת רווחים
פיסול שיניים שבורות לאחר נפילה
כתרים קדמיים על שיניים
שני כתרי כל חרסינה
כתרים קדמיים וקיצור שיניים
כתרי כל חרסינה וגילוף חניכיים
כתרים קדמיים והבהרה
החלפת כתר קדמי ישן
שן קדמית תלויה
ציפוי חרסינה לשן קטנה
ציפויי חרסינה וגילוף חניכיים
ציפוי חרסינה וכתרים
כתרי כל חרסינה
כתרים קדמיים
כתרים קדמיים ועיצוב החניכיים
החלפת כתרים צהובים ישנים
יישור שיניים גילוף חניכיים וכתרים
שתלים
שיקום שיניים קדמיות בעזרת שתלים
שיקום שן אחורית בעזרת שתל
השתלת שיניים קדמיות
כתרים על שתלים תחתונים
שיקום קבוע בעזרת שתלים
תותבת עליונה על שתלים
שיקום לסת תחתונה על ידי שתלים וגשר
השתלה ממוחשבת - שיקום לסת עליונה
תותבות
תותבות בשיטת הפה הסגור
תותבת מיידית
דף הפתיחה
אודות המרפאה
הצוות שלנו
אלבום תמונות
מגוון הטיפולים במרפאה
ד"ר גלבוע בעיתונות ובטלוויזיה
סרטוני וידאו
מהו מומחה בשיקום הפה?
אתרים מומלצים ומילון המושגים
יצירת קשר והנחיות הגעה
מרפאת שיניים בהנהלת ד"ר אילן גלבוע:
כתובת:
רח' אוסישקין 26, נתניה
טלפון:
09-8323021
דואר אלקטרוני:
dr_gilboa@012.net.il
Created by
Interia